Fine Art Ceramics Dental Laboratory

Fine Art Ceramics

Dental Laboratory

Case Studies

Lava Crowns 2

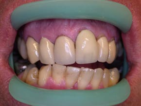
This patient wanted to replace his old crowns at 321123, and create a natural looking smile.

His surgeon suggested replacing his old bonded crowns with 6 Lava crowns and this is the end result.

Both patient and surgeon are very happy.

 

< Previous
Next >